Tratamentos - Ortodontia
Ortodontia com Sistema Damon® e Invisalign®
A Ortodontia é uma das especialidades onde nos honramos de estar na vanguarda da tecnologia e das soluções, contando com uma equipa extraordinária e exclusiva nesta área.
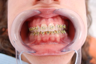
Aparelho Dentário
A Ortodontia é a área de medicina dentária que se ocupa da correção das posições dentárias e dos maxilares, através do conhecido "aparelho".
Nesta especialidade faz-se uma avaliação geral, um estudo e planeamento adequado a cada paciente e posterior orçamento.
Realizam-se também alguns exames de diagnóstico, como fotografias intra e extra orais, radiografias, modelos de estudo e até uma montagem em articulador. O planeamento do tratamento é sempre explicado ao paciente e acompanhado.
No final do tratamento, é recomendado um aparelho de contenção para facilitar a estabilidade dos resultados anteriores.
Sistema Damon®
O Sistema Damon® é talvez o melhor aparelho de brackets do mercado.
É um sistema inovador, com suportes (brackets) auto ligáveis que dispensam os tradicionais elásticos e bandas metálicas que por vezes magoam a boca por fricção. Não precisa de dolorosos expansores e em 90% dos casos não precisa de qualquer extração dentária.
É, por isso, mais confortável, mas também mais discreto, de resultados mais rápidos e ainda dispensa idas constantes ao consultório dentário.
Por todas as suas vantagens, é uma das nossas apostas na ortodontia.
Invisalign®
Um dos mais modernos, confortáveis e bem-sucedidos aparelhos de correção é praticamente invisível.
Consiste no uso de uma goteira de silicone impressa em 3D, adequada a cada caso, e é removível apenas no momento das refeições e da higiene oral. Os alinhadores transparentes Invisalign são feitos à medida com um material exclusivo, Smarttrack, e são recortados ao nível da linha gengival para que não magoem e se tornem mais cómodos.
O processo de correção é feito também com o apoio das novas tecnologias, através de software 3D e com precisão de cálculos para cada movimento dentário. Entre todas as vantagens deste alinhador está uma redução extraordinária do período de tratamento face aos aparelhos convencionais.
Ortodontia Intercetiva
Quanto mais cedo o problema for detetado, maior o sucesso e menor a probabilidade de intervenção enquanto adultos.
A ortodontia intercetiva, ou seja, a colocação de um aparelho dentário numa criança ou adolescente, corrige desde cedo problemas funcionais, beneficia o correto posicionamento e desenvolvimento dos maxilares, equilibra a musculatura orofacial e favorece a higiene. Para além disso, o tratamento tem uma duração bastante inferior ao de um adulto.
Consulte-nos em caso de detetar alguma das seguintes situações:
- hábito de chuchar no dedo ou chupeta (a partir dos 4 anos)
- dentes superiores salientes (dentes de coelho)
- dentes inferiores muito para a frente
- incisivos superiores e inferiores que não se tocam
- maxilar inferior recuado
- falta de espaço para os dentes
- assimetrias
- palato estreito
- deglutição anormal
- respiração habitual com boca aberta
- perda precoce dos dentes de leite
- demasiado espaço entre os dentes
Ou qualquer outra situação que lhe pareça incomum.










